
Implantate
Spezialgebiet und Schwerpunkt der Praxistätigkeit

Implantate sind die medizinisch und kosmetisch eleganteste Möglichkeit, verlorene Zähne zu ersetzen. Ein Implantat dient als künstliche Zahnwurzel und bietet als solche die optimale Voraussetzung für hochwertigen, langlebigen und ästhetisch kompromisslosen Zahnersatz, der kaum von einem natürlichen Zahn zu unterscheiden ist. Weitere Vorteile: Implantate schonen die vorhandene Zahnsubstanz, fügen sich harmonisch in die bestehende Zahnreihe ein und ermöglichen ein uneingeschränktes Geschmackserlebnis.
Die Planung und Realisierung von Rehabilitationen in der Mundhöhle durch Zahnimplantate ist unser Spezialgebiet und bildet den Schwerpunkt unserer Tätigkeit. Um die Behandlungsdauer zu verkürzen, wenden wir regelmäßig Sofortimplantate an, wobei das Implantat direkt gesetzt wird. Auch unter schwierigsten Ausgangsbedingungen, wie mangelndem Knochenangebot, führen wir seit vielen Jahren erfolgreiche Zahnimplantationen durch. Wir verwenden ausschließlich medizinische Premiumprodukte der Unternehmen STRAUMANN und CAMLOG.
Mit der wissenschaftlichen Erforschung, Anwendung und klinischen Weiterentwicklung von Zirkonimplantaten hat sich unsere Praxis ein Alleinstellungsmerkmal in der implantologischen Szene erarbeitet.

IMPLANTOLOGIE
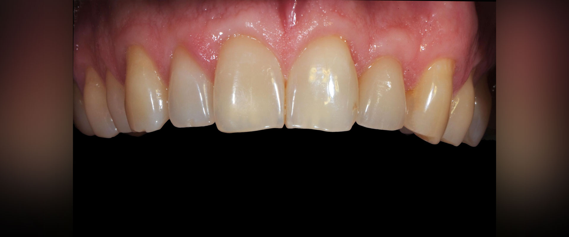
Fallbeispiel #1
Implantation Regio 22 mit einem Zirkondioxidimplantat
Fallbeispiel #1
Implantation Regio 22 mit einem Zirkondioxidimplantat
IMPLANTOLOGIE
Fallbeispiel #2
Nichtanlage von zwei Zähnen im Unterkiefer
Fallbeispiel #2
Nichtanlage von zwei Zähnen im Unterkiefer
IMPLANTOLOGIE
Fallbeispiel #3
Festsitzende implantatgetragene Brücken- und
Kronenversorgung im Ober- und Unterkiefer
